عن مركــــز ســــــــاري
في مركز ساري، انطلقت رؤيتنا لتقديم تجربة علاجية فريدة
تدمج بين الفن وأحدث تكنولوجيا طب الأسنان عالمياً.
نحن نؤمن أن الابتسامة المثالية تبدأ بالاهتمام بأدق التفاصيل.
نحن متخصصون في تجميل وزراعة الأسنان بتجهيزات رقمية
عالية الدقة،تضمن لك النتائج المثالية والراحة التامة.
وبفضل خبرتنا في إدارة الجودة،
نعد عملائنا الكرام بمواصلة التطويرالمستمر لخدماتنا
وفق أعلى المعايير .
تواصل معنا الان
احجز موعدك
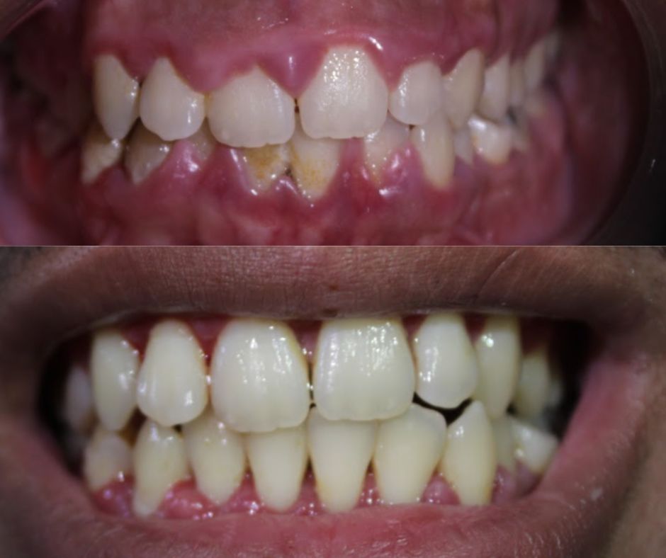
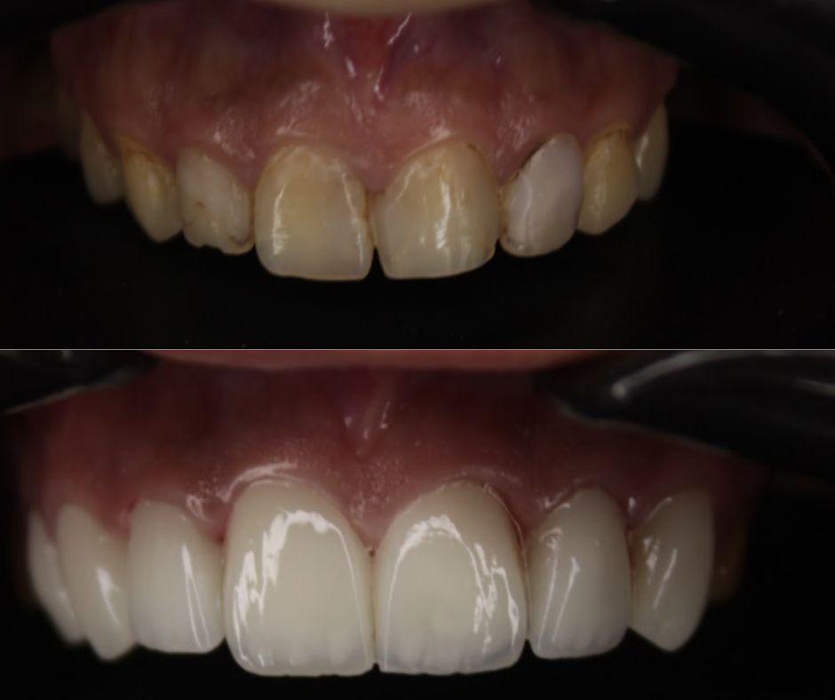
حالات قبل و بعد





آراء العملاء
احمد الصبحي
Amal
Fawaz Alqarni
الاسئلة الشائعة
-ما هو أفضل وقت لزيارة طبيب الأسنان؟
-الفحص الدوري كل 6 شهور
- لازم تزور الطبيب فورًا (ألم – نزيف – تورم)
-ما هي الأسباب الشائعة لسقوط مسمار زراعة الأسنان؟
على الرغم من أن سقوط مسمار زراعة الأسنان يُعد من الحالات النادرة، إلا أنه قد يحدث في بعض الأحيان نتيجة عدة عوامل تؤثر على نجاح الزراعة واستقرارها داخل عظم الفك. ومن أهم أسباب فشل زراعة الأسنان ما يلي:
1️⃣ عدم حدوث التكامل العظمي
يُعد التكامل العظمي من أهم مراحل نجاح زراعة الأسنان. وفي حال عدم التحام العظم المحيط بمسمار الزرعة بشكل كافٍ، يصبح المسمار غير مستقر، وغالبًا ما يكون ذلك بسبب ضعف كثافة العظم أو عدم توفر كمية عظم مناسبة في منطقة الزراعة.
2️⃣ التهاب اللثة حول الزرعة
إهمال نظافة الفم قد يؤدي إلى التهاب اللثة المحيطة بمسمار زراعة الأسنان، مما يسبب تآكل العظم الداعم للزرعة ويزيد من خطر فشلها وسقوطها بمرور الوقت.
3️⃣ مشكلات في عظام الفك
وجود فراغات أو تجاويف في عظم الفك أو ضعف البنية العظمية حول المسمار قد يؤثر سلبًا على ثبات زراعة الأسنان ويؤدي إلى فقدانها.
4️⃣ الضغط الزائد على الزرعة
التعرض لقوى عض زائدة أو تحميل مبكر على مسمار الزرعة قبل اكتمال الشفاء قد يؤدي إلى فشل الزراعة بسبب توزيع غير صحيح للضغط على العظم.
-هل تنظيف الأسنان عند الطبيب مؤلم؟ وكم مرة يجب عمله؟
تنظيف الأسنان عند الطبيب إجراء آمن وغير مؤلم في أغلب الحالات، خاصةً عند الأشخاص الذين يحافظون على نظافة الفم بانتظام. قد يشعر بعض المرضى بانزعاج بسيط أو حساسية خفيفة أثناء التنظيف، خصوصًا إذا كان هناك تراكم جير شديد أو التهاب في اللثة، لكن هذا الإحساس يكون مؤقتًا ويمكن السيطرة عليه بسهولة
.أما عن عدد المرات، فيُنصح بإجراء تنظيف الأسنان الاحترافي مرة كل 6 أشهر للحفاظ على صحة اللثة والأسنان والوقاية من التسوس والتهاب اللثة. وفي بعض الحالات، مثل مرضى اللثة أو المدخنين، قد يوصي طبيب الأسنان بالتنظيف كل 3–4 أشهر حسب الحالة.
الالتزام بتنظيف الأسنان الدوري يساعد على:منع تراكم الجيرتقليل رائحة الفم الكريهةالحفاظ على صحة اللثةإطالة عمر الحشوات وزراعة الأسنان
